智影赋能基层诊疗

P11 Plus

彩色多普勒超声诊断系统

广告

成像技术

凭借16877太阳集团先进的成像技术和优异的探头技术提供的清晰的图像表现,您可以更自信地做出临床决策。

  • μ-Scan+新一代微米成像技术

    新一代微米成像技术大大提高了器官和病变的可见性。高清对比度分辨率将抑制斑点噪声,同时保持真实的组织结构。

  • SR Flow高分辨率血流成像技术

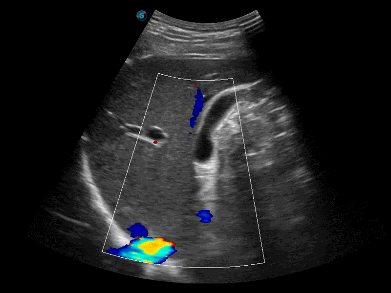
    高分辨率血流成像技术提高了对低速血流信号的检测能力。在提高空间分辨率的同时,也克服了血流外溢现象,为用户提供更加真实的血流动力学信息。

  • 扩展成像技术

    凸阵、线阵和相控阵探头进行实时扫描时,开启扩展成像模式,可以扩展超声图像视野,以便更完整地查看大的病灶或组织器官的解剖结构。

  • 实时宽景成像技术

    通过色彩血流和实时宽景相结合,可观察到完整的静脉或动脉的血流,方便医生检查。实时扫查过程中,如有任何操作失误也可以很容易地进行回扫擦除,而不会中断扫查。

简易工作流

  • 产科扫查助手S-Fetus

    S-Fetus基于大数据深度学习算法,能够帮助您在产前筛查过程中智能识别胎儿标准切面、自动测量并录入报告。一个按键,即可智能、精准、高效地获取胎儿生理指标,极大简化您的产科检查操作。

  • 产科自动测量Auto OB

    可快速对产科扫查切面完成胎儿生理学参数的自动测量,减少操作者按键次数,大幅提升检查效率。

  • NT自动测量

    自动识别颈项透明层并获得NT值,为早孕胎儿畸形筛查提供有效测量工具,提高诊断效率和诊断信心。

  • 膀胱自动测量Auto Bladder

    膀胱自动测量,一键式膀胱壁追踪和容量测量可有效提供更精确的轮廓和结果,不受膀胱形状和大小的影响。

  • 一键自动优化

    自动优化快捷按键,实现成像参数自动优化,减少您调参花费的时间,可用于二维、彩色和频谱的一键优化。

  • 工作流协议

    可定制扫描协议有助于简化工作流程,同时提高标准化并减少按键时间。

  • 血管内中膜自动测量Auto IMT

    自动识别前后壁内膜厚度,为心血管疾病早期评估提供快速准确依据。

  • 心内膜自动描迹Auto EF

    自动识别收缩和舒张末期心肌内膜,自动计算射血分数EF值。

友好人机设计

  • 21.5 英寸 LED 显示器

  • 13.3 英寸触摸屏

  • 上下升降左右旋转控制面板

  • 可调温耦合剂加热器

  • 可拆卸大容量电池

  • 隐藏式抽拉键盘

用户便捷体验

  • 教学软件Sono-Help

    教学软件可为您提供操作手法示意图、解剖结构示意图、标准超声图像示例,帮助您快速掌握超声检查标准切面。

  • 智联Show

    可实现移动端设备与机器的无线连接,实现超声图片无线传输以及实时检查屏幕共享,促进医患交流。

  • 智联Expert

    主机内置远程会诊功能,一键开启,即刻享受优质服务。

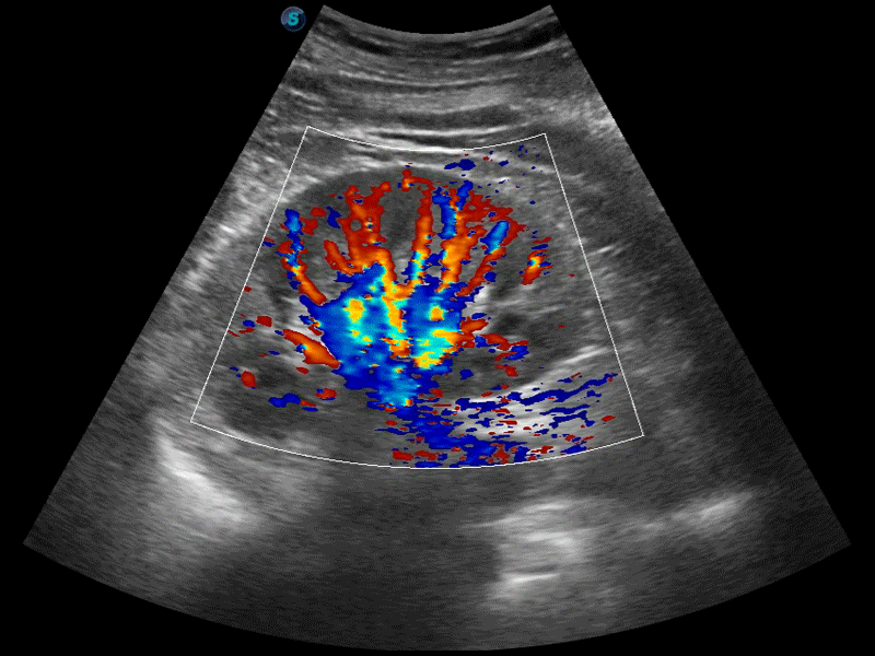
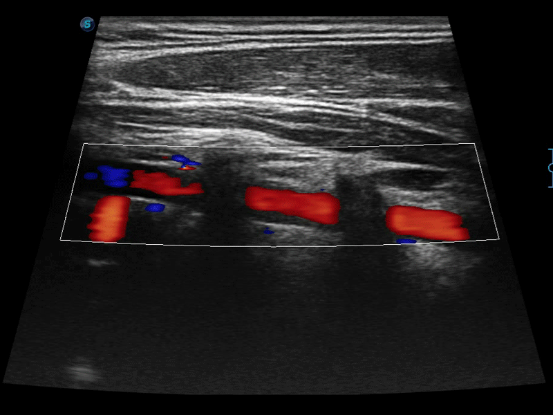
临床图像

禁忌内容或者注意事项详见说明书